
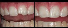
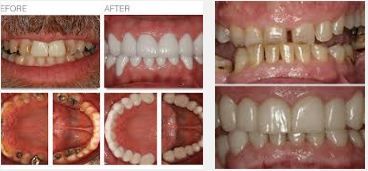
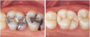
Let us give you just a glimpse of your future
A bright, white smile is often the first thing that people notice about you. At Willowbrook Dental Center, our team of professional dentists and technicians strive to give a smile that will not only remain healthy but will create a buzz with your neighbors and friends.
Take your time and take a virtual walk through our gallery. We're confident you'll see something
you like.
Experience dental care like no other.







